All-on-4 and All-on-6
A fixed, full-arch solution that restores confidence, function, and aesthetics—designed for lasting comfort and natural results.
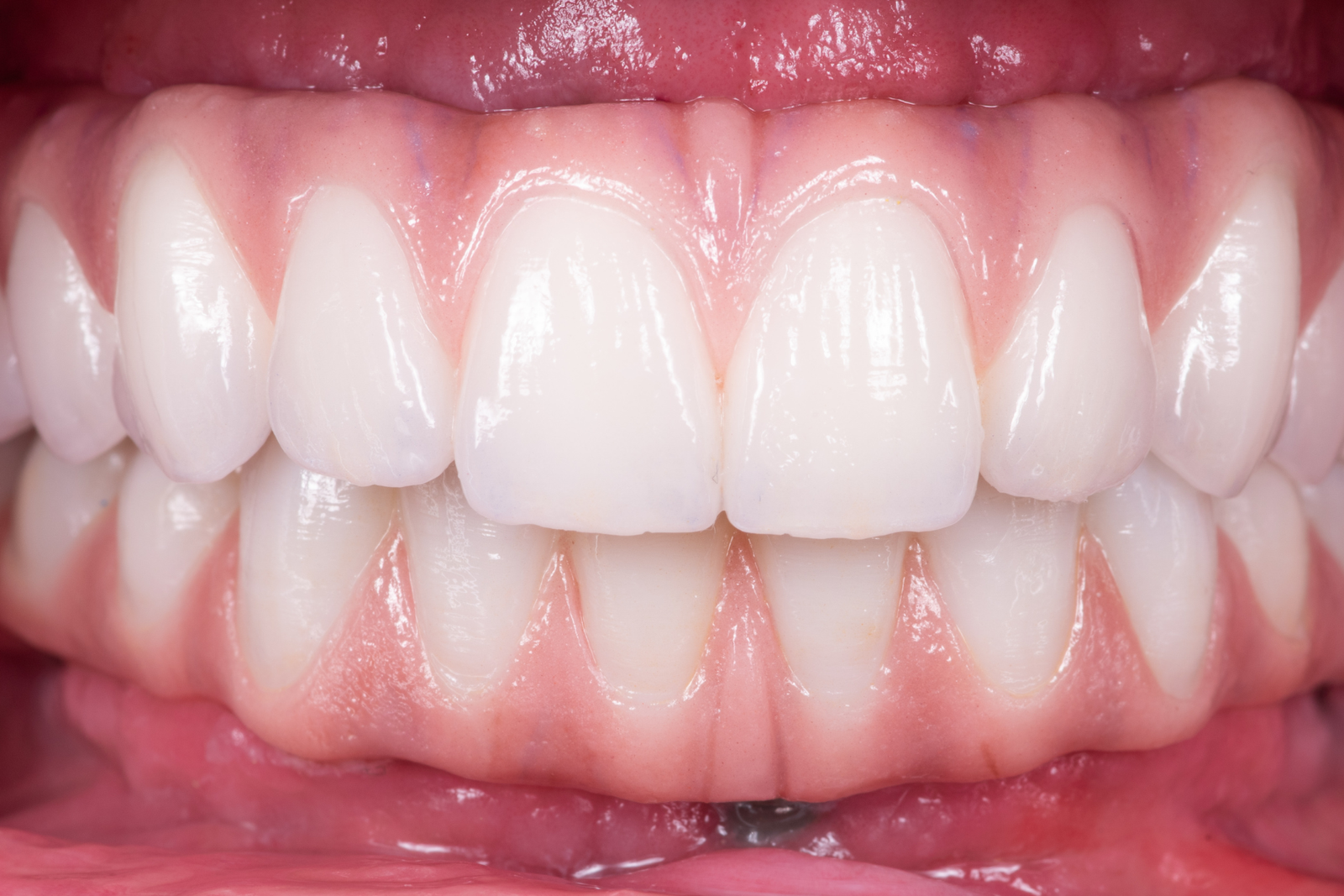
All-on-4, All-on-6: Modern Full-Arch Solutions
Full-arch implants—such as the All-on-4 and All-on-6 systems—are a modern solution for patients who have lost most or all teeth on the upper or lower jaw. Instead of replacing each tooth individually, a custom full-arch prosthesis is securely anchored by four (All-on-4) or six (All-on-6) dental implants. This fixed, non-removable solution restores both aesthetics and function, offering a permanent alternative to traditional dentures — with natural feel, long-term stability, and renewed confidence in every bite.
Treatment Options
All-on-4 Implants
A streamlined, minimally invasive solution using four implants to support a full arch of fixed teeth. Designed for patients with reduced bone volume, All-on-4 often eliminates the need for bone grafting and allows for faster recovery and fewer appointments.
All-on-6 Implants
With six strategically placed implants, this option provides added support and load distribution — ideal for patients seeking enhanced durability or who present with higher functional demands. All-on-6 may also be recommended for long-term prosthetic strength and stability.
Our team evaluates each case individually to determine the best full-arch strategy based on bone health, medical history, and personal goals.
Full Mouth Rehabilitation: An Alternative to Full-Arch Implants
While All-on-4 and All-on-6 are ideal for patients needing full-arch replacement, they’re not the only path to a complete smile transformation. For those with remaining healthy teeth, or whose needs are more restorative than full-arch, we offer Full Mouth Rehabilitation — a tailored approach that combines treatments like dental crowns, veneers, and other procedures to rebuild your smile with precision, function, and beauty.
Treatment Options Used in Full Mouth Rehabilitation
Each case is different. At Oral Rehab Los Algodones, we use a combination of techniques — depending on your bone health, tooth condition, and smile goals.
Dental Crowns
Dental crowns are used when natural teeth are damaged but still salvageable. They cover and protect teeth that have been worn down, fractured, or treated with root canal therapy.
In FMR, crowns are strategically used to rebuild occlusion, reestablish proper bite alignment, and restore natural tooth form — often across both arches.
Veneers
Veneers are thin porcelain or composite shells bonded to the front of the teeth to enhance aesthetics. In a full mouth case, they’re used when the patient’s teeth are structurally sound but discolored, misaligned, or worn.
Veneers play a critical role in FMR by refining the smile line, enhancing harmony, and improving facial expression — especially in the front teeth.
Smile Transformations
See the real impact of full mouth rehabilitation, functional results that go far beyond aesthetics.






Why Oral Rehab Los Algodones?
- Full-Arch & Smile Rehab Experts
Extensive experience in All-on-4, All-on-6, and advanced full-mouth restoration. - In-House Digital Lab
Custom prosthetics made on-site for faster delivery and perfect fit. - Cutting-Edge Technology
From CT scans to guided surgery—precision and safety at every step. - Patient-Focused Approach
Bilingual team, personalized care, and seamless cross-border coordination. - Proven Results, Trusted by Many
Thousands of patients treated. Most come referred by others.
Private Transport and Comfortable Stays: Your Complete Dental Experience




Your dental journey starts with comfort. Oral Rehab Algodones offers private transportation, including hotel pickups, in-town rides, and exclusive accommodations for your stay.
Traveling for dental care has never been easier — our team is ready to assist with planning, booking, and local guidance.
Your Dental Journey Starts Here: Let's Connect
Tell us what you need. Schedule an appointment, request a video consultation, or ask any questions you may have. Our team is ready to assist you.